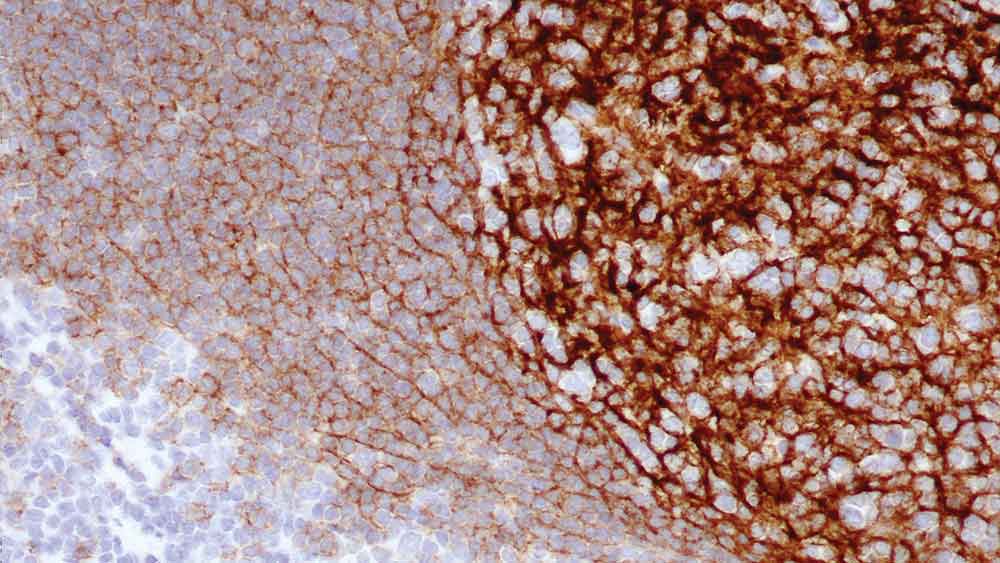
Human tonsil: immunohistochemical staining for CD21 antigen. Note intense membrane staining of follicular dendritic cells. CD21: clone 2G9

CD21

O antígeno CD21 é uma glicoproteína de membrana integral do tipo I com massa molecular de 140 kD que funciona como receptor para o fragmento C3d do terceiro componente complementar.

A molécula CD21, presente em células B maduras, está envolvida na transmissão de sinais que promovem o crescimento ao interior das células B e atua como receptor para o vírus Epstein-Barr. O antígeno CD21 é relatado ser encontrado em leucemias linfoides crônicas celulares B e em um subconjunto de leucemias linfoides agudas de células T, mas está ausente em linfócitos T, monócitos e granulócitos. Também reporta-se a expressão do antígeno CD21 em células dendríticas foliculares e em linfomas de células do manto e foliculares, leucemias maduras e linfomas.

Produtos

Produtos

CD21-2G9-L-CE
1ml NCL-L-CD21-2G9
PA0171
ANTICORPO ANTI-CD21 BOND RTU (7ML)

Downloads

Downloads

CD21-2G9-L-CE

PA0171

Recently Viewed