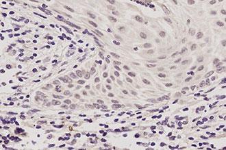
Human cervix: in situ hybridization using DNA Negative Control, Anti-Biotin Antibody and BOND Polymer Refine Detection.

BOND DNA Negative Control Probe

The DNA Negative Control is intended for use as a negative control in formalin-fixed, paraffin-embedded tissue by DNA in situ hybridization (ISH) using the automated BOND system.

DNA Negative Control is used in place of the probe, to enable the identification of background staining resulting from non-specific interactions with the specimen sample under investigation.

For in vitro diagnostic use.

제품

제품

PB0731
6.25mL DNA Negative Control
국가 가용성

Downloads

Downloads

PB0731

Recently Viewed