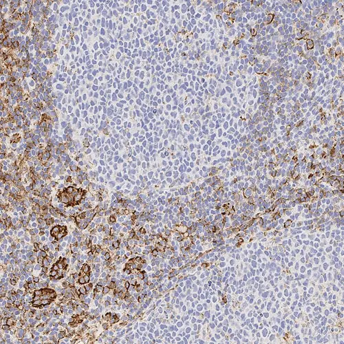
Human lymphoma: immunohistochemistry staining for CD31. Note the membrane staining of endothelial cells. CD31: Clone JC70A

CD31 (PECAM-1)

Antigen Background
CD31 antigen (PECAM-1) is a single chain transmembrane glycoprotein with a molecular weight of 130 to 140 kD. The CD31 molecule is expressed on the surface of platelets, monocytes, granulocytes, B cells and at the endothelial intracellular junction. The molecule has an extracellular domain that contains six Ig-like homology units of C2 subclass, typical of cell-to-cell adhesion molecules. This domain mediates endothelial cell-to-cell adhesion, plays a role in endothelial contact and may serve to stabilize the endothelial cell monolayer. The CD31 molecule also has a cytoplasmic domain with potential sites for phosphorylation after cellular activation. The properties of CD31 antigen suggest that it is involved in interactive events during angiogenesis, thrombosis, and wound healing. Angiogenesis is essential for tumor growth and metastases.

Disclaimer
CD31 (PECAM-1) is recommended for the detection of specific antigens of interest in normal and neoplastic tissues, as an adjunct to conventional histopathology using non-immunologic histochemical stains. 

제품

제품

CD31-607-L-CE
1ml NCL-L-CD31-607
국가 가용성
PA0414
7ml CD31 (JC70A) Bond RTU Primary
국가 가용성
PA0250
7ml CD31 Bond RTU Primary
국가 가용성
CD31-607-L-U
1ml NCL-L-CD31-607
국가 가용성
PA0414-U
7ml CD31 (JC70A) Bond RTU Primary
국가 가용성

Downloads

Downloads

CD31-607-L-CE

PA0414

PA0250

CD31-607-L-U

PA0414-U

Recently Viewed