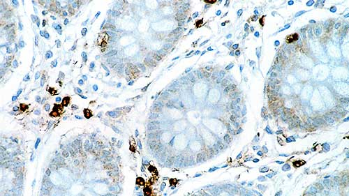
Human colon: immunohistochemical staining for Interleukin 6. Note cytoplasmic staining of a proportion of lymphoid cells. Interleukin 6: clone 10C12

Interleukin 6

Antigen Background

IL-6 is a multifunctional cytokine that is secreted by both lymphoid and non-lymphoid cells. It plays a key role in immune responses, hematopoiesis and is an important cytokine in cell proliferation and differentiation. It may also play an important role as an autocrine growth factor in metastatic prostate cancer. IL-6 has been reported to play a role in secretion or release of pituitary hormone in pituitary hormone secreting cells and adenomas. In addition, IL-6 has been suggested to have a trophic effect in nerve cells and to have a direct pathogenic role in CNS disorders. There are an increasing number of reports that cytokines of the IL-6 family play an important regulatory role in heart physiology.

製品

製品

IL6-L
NCL-L-IL6:Interleukin 6:1mL
在庫を確認する

ダウンロード

ダウンロード

IL6-L

Recently Viewed