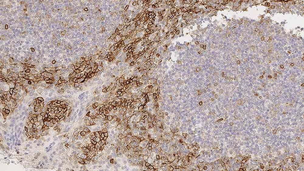
Human tonsil: immunohistochemical staining for CD99. Note membrane staining of vessel endothelium and a subpopulation of lymphocytes. CD99: clone PCB1

CD99

Antigen Background

CD99は32kDaの膜貫通型糖タンパクで、ヒトX およびY染色体の偽常染色体領域にあるMIC2遺伝子によってコードされます。MIC2遺伝子は、選択的スプライシングにより、30kDaと32kDaのバンドとして同定される2種類のタンパク(p30/32)をコードしていることが示されています。CD99 の機能は十分には理解されていませんが、T細胞の同種凝集、T細胞受容体とMHS分子の発現上昇、未熟胸腺細胞のアポトーシス、白血球の血管外遊出を含めたさまざまな細胞プロセスに関与しています。CD99は、胸腺皮質細胞、膵島細胞、ライディッヒ細胞、セルトリ細胞、顆粒球以外の造血系細胞、末梢血リンパ球、卵巣の顆粒膜細胞、内皮細胞および基底/傍基底扁平上皮細胞を含めたほとんどのヒト組織に発現していると報告されています。CD99発現は、ユーイング肉腫やT細胞性リンパ腫を含めたさまざまな腫瘍でも報告されています。

Disclaimer

CD99 is recommended for the detection of specific antigens of interest in normal and neoplastic tissues, as an adjunct to conventional histopathology using non-immunologic histochemical stains.

製品

製品

CD99-187-L-CE
NCL-L-CD99-187,CD99,PCB1,1mL
在庫を確認する
CD99-187-L
?CE??NCL-L-CD99-187,CD99,PCB1,1mL
在庫を確認する
CD99-187-L-U
1ml NCL-L-CD99-187
在庫を確認する

ダウンロード

ダウンロード

CD99-187-L-CE

CD99-187-L

CD99-187-L-U

Recently Viewed