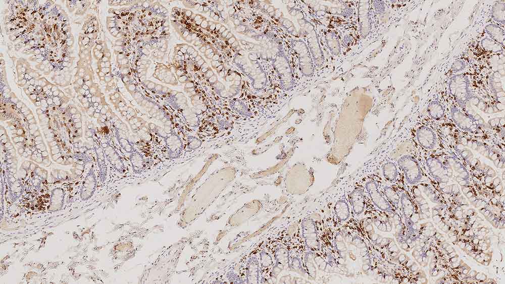
Human normal small bowel immunohistochemistry staining of CD103. Note membrane and cytoplasmic staining of Intraepithelial T lymphocytes. CD103: clone EP206

CD103

Antigen Background

CD103は、αE integrin /human mucosal lymphocyte antigen 1としても知られてるインテグリンファミリー接着分子で、上皮内 T細胞や末梢血中の制御性 T細胞に発現しています。CD103は、悪性腫瘍において腫瘍浸潤性FOXP3陽性T細胞に高発現し、またhigh-grade漿液性卵巣癌においてCD103陽性 T細胞の発現が患者の予後と強く関連していることが報告されています。乳癌においても同様の報告がされており、CD103は腫瘍における上皮内浸潤性リンパ球のマーカーになることが示唆されています。また病理学的な鑑別において、CD103はHairy cellleukemiaに発現し、Splenic marginal zone lymphomaとの鑑別に有用との報告もあります。

製品

製品

PA0374-U
7ml CD103 (EP206) Bond RTU Primary
在庫を確認する
PA0374
PA0374,CD103,EP206,7mL
在庫を確認する

ダウンロード

ダウンロード

PA0374-U

PA0374

Recently Viewed