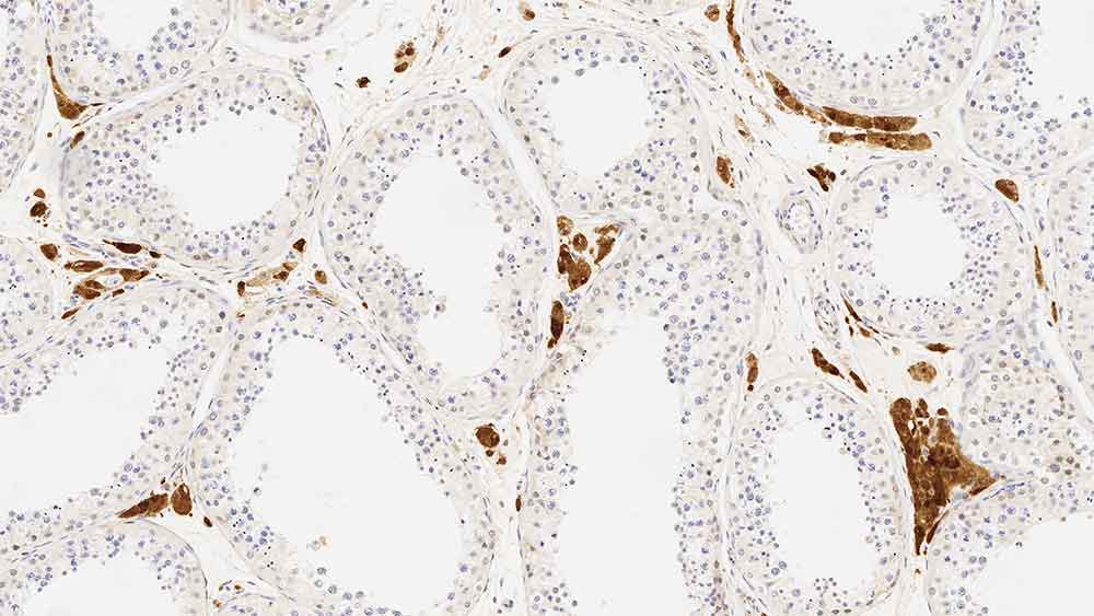
Human testes: immunohistochemical staining for calretinin. Note cytoplasmic staining of Leydig cells. Calretinin: clone CAL6

Calretinin

Antigen Background

Calretinin は29kDのカルシウム結合タンパクで、S-100蛋白も含むいわゆるEF-ハンドタンパクファミリーに属します。Calretininは、神経組織に豊富に含まれることが報告されています。Calretininは神経系以外では中皮細胞、ステロイド産生細胞(副腎皮質細胞、ライディッヒ細胞、卵胞膜細胞、セルトリ細胞)、一部の神経内分泌細胞、エクリン汗腺などのさまざまなタイプの細胞に発現すると報告されています。Calretininは、主として悪性中皮腫と癌の鑑別における有用なマーカーであることが報告されています。Calretininの検出が、卵巣性索間質性腫瘍の鑑別に役立つことを示した報告もあります。腎尿細管におけるCalretinin陽性細胞も報告されています。

Disclaimer

Calretinin is recommended for the detection of specific antigens of interest in normal and neoplastic tissues, as an adjunct to conventional histopathology using non-immunologic histochemical stains.

製品

製品

CALRET566-L-CE
NCL-L-CALRET-566,Calretinin,CAL6,1mL
在庫を確認する
PA0346
Calretinin
在庫を確認する
CALRET566-L-U
1ml NCL-L-CALRET-566
在庫を確認する
PA0346-U
7ml Calretinin Bond RTU Primary
在庫を確認する

ダウンロード

ダウンロード

CALRET566-L-CE

PA0346

CALRET566-L-U

PA0346-U

Recently Viewed