IgG4 Reactive Disease: IgG4 clone HP6023.

IgG4

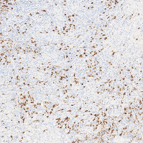
Antigen Background
IgG4‐related disease (IgG4‐RD) is an inflammatory condition which presents in multiple organs and is characterized by increased IgG4/IgG ratio, dense lymphoplasmacytic infiltration enriched with many IgG4‐positive plasma cells, fibrosclerosis, obliterative phlebitis, and mass formation. These clinical features have significant overlap with several neoplastic conditions including lymphoma and renal cell carcinoma (RCC). As such, examination of IgG4 expression using immunohistochemistry may aid in the differentiation of these conditions from IgG4‐RD.

Disclaimer
IgG4 is recommended for the detection of specific antigens of interest in normal and neoplastic tissues, as an adjunct to conventional histopathology using non‐immunologic histochemical stains.

製品

製品

PA0977-U
7mL IgG4 (HP6023) Bond RTU

ダウンロード

ダウンロード

PA0977-U

Recently Viewed