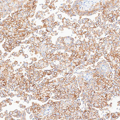
Mesothelioma: DAB staining of Podoplanin. Clone D2-40. Scanned using Aperio GT450.

Podoplanin

Antigen Background

Podoplanin is a transmembrane glycoprotein expressed in a variety of tissues, performing many roles within the body. Among these, it contributes to the promotion of lymphatic vasogenesis. As such, it is a sensitive marker of lymphatic differentiation, a useful tool when evaluating tumors with a vascular component. When used alongside other markers, it has been shown to aid in the differential diagnosis of mesothelioma (positive) versus adenocarcinoma (negative), and seminoma (positive) versus nonseminoma (negative), among other conditions. 

 

Disclaimer

Podoplanin is recommended for the detection of specific antigens of interest in normal and neoplastic tissues, as an adjunct to conventional histopathology using non-immunologic histochemical stains.

製品

製品

PA0240-U
7mL Podoplanin (D2-40) Bond RTU

ダウンロード

ダウンロード

PA0240-U

Recently Viewed