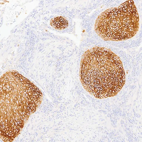
Lung Squamous Cell Carcinoma: Desmoglein 3 clone EPR14101.

Desmoglein 3

Antigen Background
Desmoglein 3 is a calcium-binding transmembrane glycoprotein found in the desmosomes of epithelial cells. A member of the cadherin superfamily of proteins and upregulated in neoplastic tissues, it is largely confined to the basal layer of the epidermis. It has been shown to be a sensitive and highly specific front-line marker to aid in the differentiation of squamous cell carcinoma (positive) from lung adenocarcinoma (negative).

Disclaimer
Desmoglein 3 is recommended for the detection of specific antigens of interest in normal and neoplastic tissues, as an adjunct to conventional histopathology using non‐immunologic histochemical stains.

製品

製品

PA0347-U
7mL Desmoglein 3 (EPR14101) BondRTU

ダウンロード

ダウンロード

PA0347-U

Recently Viewed