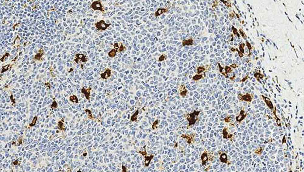
Human tonsil: immunohistochemical staining for CD68. Note the germinal centre macrophages show a strong cytoplasmic staining reaction, while the interfollicular macrophages show correct weak to moderate staining reaction. CD68: clone 514H12

CD68

Antigen Background

CD68は、主としてマクロファージの細胞質顆粒に(より低レベルで細胞膜にも)結合すると報告されている細胞内糖タンパク(110kD)です。CD68は、マクロファージの同定に最も高頻度に利用されている免疫組織化学マーカーですが、単球、好中球、好塩基球および大型リンパ球にもみられます。CD68の機能は明らかにされていませんが、酸性加水分解酵素からライソゾーム膜を保護している可能性があります。細胞表面のCD68に機能的な意義があるのか、またはライソゾームからの漏出によるものなのかは明らかにされていません。CD68の発現は、刺激されたT細胞、NK細胞、肝臓や尿細管などの非造血系組織でも証明されています。

Disclaimer

CD68 is recommended for the detection of specific antigens of interest in normal and neoplastic tissues, as an adjunct to conventional histopathology using non-immunologic histochemical stains.

製品

製品

CD68-L-CE
NCL-L-CD68,CD68,514H12,1mL
CD68-L
?CE??NCL-L-CD68,CD68,514H12,1mL
PA0273
CD68

ダウンロード

ダウンロード

CD68-L-CE

CD68-L

PA0273

Recently Viewed