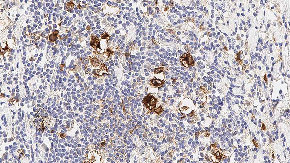
Human lymph node, nodular sclerosing Hodgkin's disease: immunohistochemical staining for CD30. Note membrane and cytoplasmic staining of the neoplastic cells, CD30: clone JCM182

CD30

Antigen Background

CD30は、分子量120kDの単鎖糖タンパクです。CD30は、サイトカインのリガンドであるCD30Lの受容体として作用することが知られており、細胞増殖の調節と形質転換においても役割を果たしている可能性があります。CD30は、ReedSternberg細胞、ホジキン細胞および大部分の未分化大細胞型リンパ腫の細胞表面に発現することが報告されています。また、CD30は、非ホジキンリンパ腫およびウイルスによる形質転換細胞(EBV)により形質転換されたB細胞などに発現しています。

Product Specific Information

Clone JCM182 抗体はIFUにて推奨されている溶液(pH6.0)以外の抗原賦活液を使用すると、背景染色が増強することがあります。

Disclaimer

CD30 is recommended for the detection of specific antigens of interest in normal and neoplastic tissues, as an adjunct to conventional histopathology using non-immunologic histochemical stains.

製品

製品

CD30-591-L
?CE??NCL-L-CD30-591,CD30,JCM182,1mL
CD30-591-L-CE
NCL-L-CD30-591,CD30,JCM182,1mL
PA0790
CD30

ダウンロード

ダウンロード

CD30-591-L

CD30-591-L-CE

PA0790

Recently Viewed