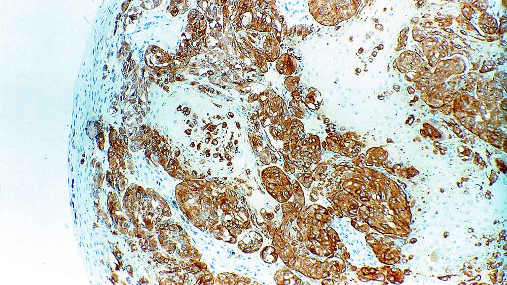
Human malignant melanoma: immunohistochemical staining for Tyrosinase: clone T311

Tyrosinase

Antigen Background

The biosynthesis of melanin in melanocytes involves a family of enzymes, a key member of which is tyrosinase. Tyrosinase deficiency is associated with various forms of albinism and in particular oculocutaneous albinism. L-tyrosinase is the initial substrate for melanin biosynthesis and its conversion to dopaquinone is catalyzed by tyrosinase, whose expression is reported in melanocytes and melanomas.


Disclaimer

Tyrosinase is recommended for the detection of specific antigens of interest in normal and neoplastic tissues, as an adjunct to conventional histopathology using non-immunologic histochemical stains.

Products

Products

PA0322-U
7ml Tyrosinase Bond RTUPrimary
Country availability
TYROS-L-CE
1ml NCL-L-TYROS
Country availability
TYROS-L
1ml NCL-L-TYROS
Country availability
PA0322
7ml Tyrosinase Bond RTUPrimary
Country availability
TYROS-L-U
1ml NCL-L-TYROS
Country availability

Downloads

Downloads

PA0322-U

TYROS-L-CE

TYROS-L

PA0322

TYROS-L-U

Recently Viewed