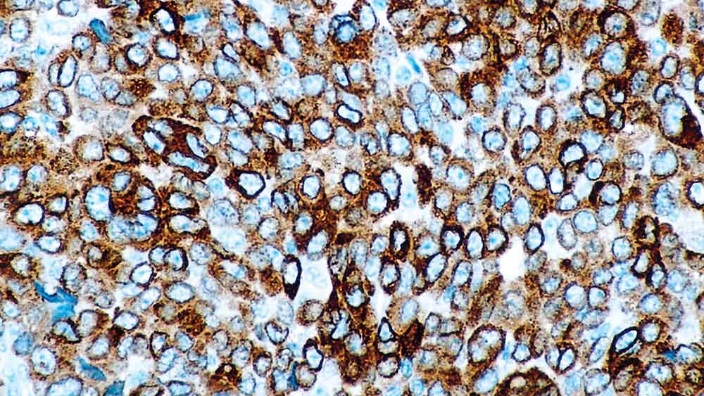
Human skin, melanoma: immunohistochemical staining for Melan A. Note the melanoma showing cytoplasmic staining of tumor cells. Melan A: clone A103

Melan A

Antigen Background

Melan A, a product of the MART-1 gene, is a melanocyte differentiation marker recognized by autologous cytotoxic T lymphocytes. Other melanoma-associated markers recognized by autologous cytotoxic T cells are reported to include MAGE-1, MAGE-3, tyrosinase, gp100, gp75, BAGE-1 and GAGE-1. The analysis of these different molecules and their expression in individual melanomas may be of help in the study of their particular molecular roles in melanocyte differentiation and tumorigenesis.

Disclaimer

Melan A is recommended for the detection of specific antigens of interest in normal and neoplastic tissues, as an adjunct to conventional histopathology using non-immunologic histochemical stains.

Products

Products

MELANA-L-CE
1ml NCL-L-MelanA
Country availability
PA0044
30ml Melan A Bond RTU Primary
Country availability
PA0233
7ml Melan A Bond RTU Primary
Country availability
MELANA-L-U
1ml NCL-L-MelanA
Country availability
PA0233-U
7ml Melan A Bond RTU Primary
Country availability
PA0044-U
30ml Melan A Bond RTU Primary
Country availability

Downloads

Downloads

MELANA-L-CE

PA0044

PA0233

MELANA-L-U

PA0233-U

PA0044-U

Recently Viewed