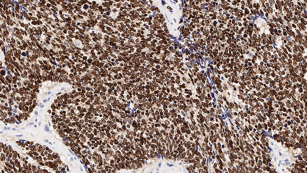
Human thyroid: immunohistochemical staining for Thyroid Transcription Factor-1. Note nuclear staining of thyroid epithelial cells. Thyroid Transcription Factor-1: clone SPT24

Thyroid Transcription Factor-1

Description de l'antigène

Le facteur 1 de transcription de la thyroïde (Thyroid Transcription Factor-1 ou TTF-1) est un membre de la famille des facteurs de transcription à homéodomaine, et joue un rôle dans la régulation des gènes exprimés dans la thyroïde, dans le poumon et dans le cerveau. Ceux-ci comprennent la thyroglobuline, la peroxydase thyroïdienne, la protéine sécrétoire des cellules de Clara et les protéines du surfactant.

Le TTF-1 humain (38 kD) est un polypeptide unique de 371 acides aminés, qui présente 98 pour cent d'homologie avec les protéines équivalentes du rat et de la souris.

Le TTF-1 agit par sa liaison à des sites de reconnaissance spécifiques d'une manière qui peut être régulée par l'état rédox et l'état de phosphorylation de la protéine.

En plus de son rôle d'activateur transcriptionnel spécifique au tissu des organes adultes, le TTF-1 pourrait avoir un rôle dans l'organogenèse.

Des études de ciblage génique ont démontré que le TTF-1 est essentiel au développement correct de la thyroïde et des poumons, et une expression anormale de la protéine peut sous-tendre plusieurs anomalies congénitales.

L'expression du TTF-1 a été détectée dans plus de 90 pour cent des carcinomes pulmonaires à petites cellules et dans 75 pour cent des carcinomes pulmonaires non à petites cellules, mais il n'est pas exprimé dans les carcinoïdes pulmonaires typiques.

On a également observé l'expression du TTF-1 dans les carcinomes papillaires folliculaires et dans le goitre, un gonflement bénin de la thyroïde, mais pas dans les carcinomes anaplasiques de la thyroïde.

Produits

Produits

TTF-1-L-CE
1ml NCL-L-TTF-1
Voir Disponibilité
PA0364
7ml TTF-1 Bond RTU Primary
Voir Disponibilité
TTF-1-L-U
1ml NCL-L-TTF-1
Voir Disponibilité
PA0364-U
7ml TTF-1 Bond RTU Primary
Voir Disponibilité

Téléchargements

Téléchargements

TTF-1-L-CE

PA0364

TTF-1-L-U

PA0364-U

Récemment Consultés