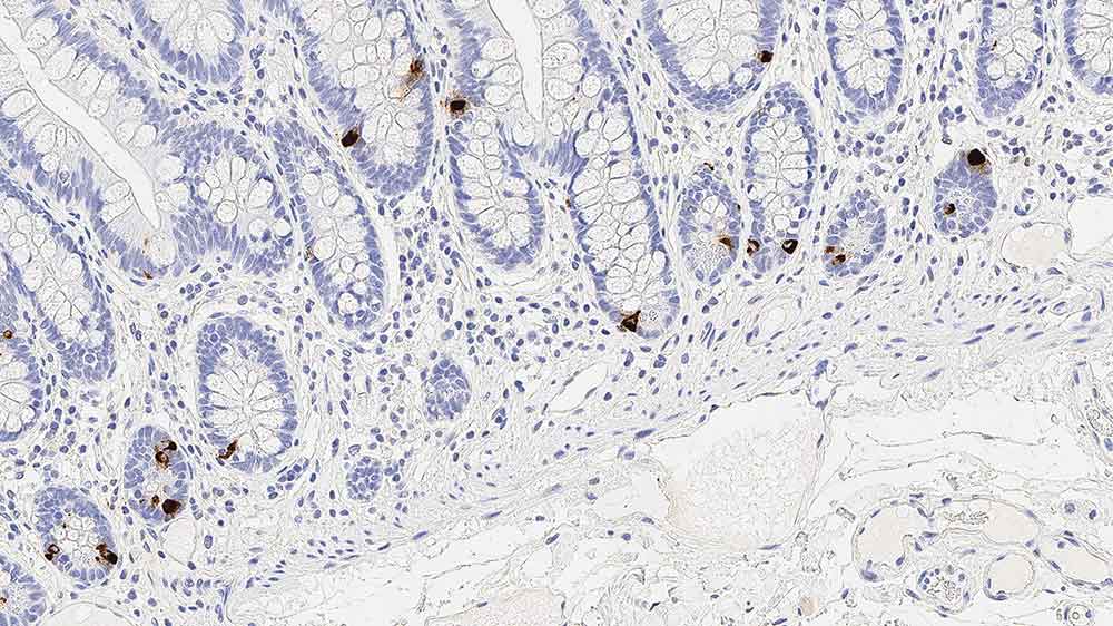
Human small bowel: immunohistochemical staining for Chromogranin A. Note cytoplasmic staining of neuroedocrine cells. Chromogranin A: clone 5H7

Chromogranin A

Description de l'antigène

La chromogranine A est une protéine acide de 68 kD dont l'expression a été observée dans les tissus neuraux et les granules sécréteurs des cellules endocrines humaines, par exemple la glande parathyroïde, la médullaire surrénalienne, la glande hypophyse antérieure, les cellules des îlots de Langerhans et les cellules C de la thyroïde.

L'expression de la chromogranine A a été observée dans les tumeurs neuroendocrines, telles que les adénomes hypophysaires, les tumeurs des cellules d'îlots, les phéochromocytomes, les carcinomes médullaires de la thyroïde, les tumeurs à cellules de Merkel et les carcinoïdes.

Produits

Produits

CHROM-430-L-CE
1ml NCL-L-CHROM-430
Voir Disponibilité
PA0430
7ml Chromogran BondRTU Primary
Voir Disponibilité
Contactez-nous pour un devis.
PA0515
7ml ChromograninA (5H7) Bond RTU Primary
Voir Disponibilité
CHROM-430-L-U
1ml NCL-L-CHROM-430
Voir Disponibilité
PA0515-U
7ml ChromograninA (5H7) Bond RTU Primary
Voir Disponibilité

Téléchargements

Téléchargements

CHROM-430-L-CE

PA0430

PA0515

CHROM-430-L-U

PA0515-U

Récemment Consultés