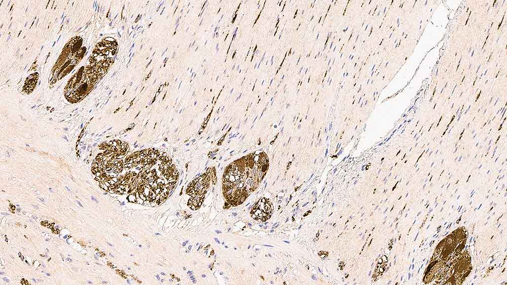
Human large bowel: immunohistochemical staining of Neuron Specific Enolase (NSE). Note the staining in the neuronal elements and the ganglia of the longitudinal and circular smooth muscle. Neuron Specific Enolase: clone 22C9

Neuron Specific Enolase

Description de l'antigène

L'énolase est une enzyme glycolytique qui catalyse la réaction entre le 2-phosphoglycérate et le phosphoénolpyruvate. Chez les mammifères, les molécules d'énolase sont des dimères composés de trois sous-unités distinctes (α, β et γ) bien que cinq formes aient été observées chez le rat.

Les sous-unités α et γ ont des poids moléculaires d'environ 47 kD et 45 kD, respectivement. Les énolases γγ et αγ se trouvent principalement dans le tissu nerveux et dans les cellules neuroendocrines.

Le clone 22C9 a été développé pour produire un marquage de haute qualité des coupes en paraffine, et réagit avec la sous-unité γ de l'isoenzyme énolase.

Le clone 5E2 réagit avec le composant de 47 kD de l'isoenzyme énolase gamma-gamma.

Produits

Produits

PA0435-U
7ml NSE Bond RTU Primary
Voir Disponibilité
PA0435
7ml NSE Bond RTU Primary
Voir Disponibilité

Téléchargements

Téléchargements

PA0435-U

PA0435

Récemment Consultés