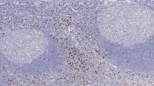
Human Tonsil: Immunohistochemistry staining of FOXP3. FOXP3: clone 236A/E7

FOXP3

Descriptions des antigènes
FOXP3 (Forkhead Box Protein 3, Scurfin) appartient à la famille des protéines de type FOX, qui jouent un rôle de facteur de transcription. Ces protéines sont caractérisées par un domaine de liaison à l’ADN « forkhead » hautement conservé. FOXP3 joue un rôle important dans la régulation immunitaire, en réduisant l’expression de l’Interleukine 2, ce qui réduit la fonction des lymphocytes T auxiliaires. Le rôle joué par FOXP3 dans le cancer est multiple, avec une action sur la progression tumorale (via la suppression de l’activité des lymphocytes T) et la suppression des oncogènes.

Clause limitative de responsabilité
FOXP3 est recommandé pour la détection des antigènes d’intérêt spécifiques dans les tissus normaux et néoplasiques, en complément à l'histopathologie traditionnelle utilisant des marqueurs histochimiques non immunologiques.

Produits

Produits

PA0263
7mL FOXP3 (236A/E7) BOND RTU Primary
Voir Disponibilité

Téléchargements

Téléchargements

PA0263

Récemment Consultés