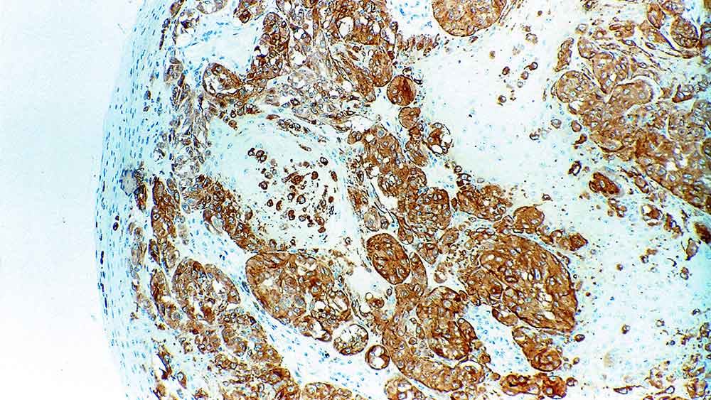
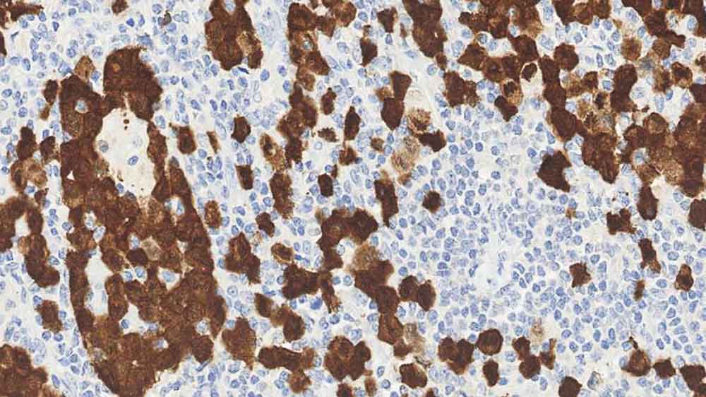
Anaplastic large cell lymphoma: immunohistochemical staining for ALK. Note the strong nuclear and cytoplasmic staining in the neoplastic cells. ALK: clone 5A4

ALK

Description de l'antigène

Le lymphome anaplasique à grandes cellules (ALCL) est en général composé de grandes cellules pléomorphes exprimant l'antigène CD30 et l'antigène épithélial membranaire (EMA).

Ces cellules tumorales ont tendance à se développer chez les patients jeunes, et pourraient être associées à une participation cutanée et extranodale. Certains cas présentent une translocation chromosomique t(2;5) (p23;q35).

Cette translocation produit un gène chimérique, juxtaposant une partie du gène de la nucléophosmine (NPM) et le domaine cytoplasmique du gène de la kinase du lymphome anaplasique (ALK), produisant la protéine p80.

Les lymphomes à grandes cellules représentent environ 25 pour cent de la totalité des lymphomes non-hodgkiniens chez les enfants et les jeunes adultes, et 30 pour cent de ceux-ci portent la translocation NPM-ALK.

Produits

Produits

ALK-L-CE-H
0.5ml NCL-L-ALK
Voir Disponibilité
PA0831
7 mL ALK (5A4) BOND RTU Primary
Voir Disponibilité
ALK-L-H-U
0.5ml NCL-L-ALK
Voir Disponibilité
PA0831-U
7 mL ALK (5A4) BOND RTU Primary
Voir Disponibilité

Téléchargements

Téléchargements

ALK-L-CE-H

PA0831

ALK-L-H-U

PA0831-U

Récemment Consultés