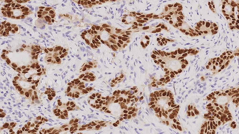
Human colonic adenocarcinoma: immunohistochemical staining for CDX2. Note the nuclear and cytoplasmic staining of malignant cells. CDX2: clone EP25

CDX2

Description de l'antigène

Le CDX2est un facteur de transcription caudal-type homéobox spécifique de l'intestin, qui est exprimé tôt dans le développement intestinal et pourrait être impliqué dans la régulation de la prolifération et de la différenciation des cellules épithéliales de l'intestin.

Le CDX2, comme le CDX1, est particulièrement intéressant car l'intestin est le seul organe contenant des taux détectables de ces deux protéines. Le CDX2 est principalement exprimé sur la surface des villosités et dans les cryptes.

Contrairement au CDX1, une expression intense du CDX2 a été observée dans toutes les parties de l'intestin en développement à l'exception de la partie distale. Selon les rapports, la perte de CDX2 contribue à la progression de certains cancers colorectaux sporadiques, et le CDX2 pourrait aussi être associé avec la carcinogenèse de l'estomac, vu que l'expression de l'ARNm du CDX2 diminue progressivement lors de la transition entre les lignées cellulaires cancéreuses gastriques bien différenciées et peu différenciées.

Produits

Produits

PA0375
7ml CDX2 (EP25) Bond RTU Primary
Voir Disponibilité
PA0375-U
7ml CDX2 (EP25) Bond RTU Primary
Voir Disponibilité

Téléchargements

Téléchargements

PA0375

PA0375-U

Récemment Consultés