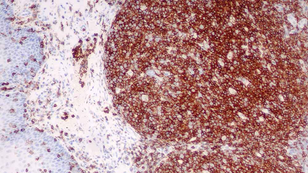
Human tonsil: immunohistochemical staining of CD45 or leukocyte common antigen (LCA) in various hematolymphoid cells. CD45: clone X16/99

CD45

Description de l'antigène

L'antigène CD45 (antigène leucocytaire commun) est une famille d'au moins 5 glycoprotéines de haut poids moléculaire présentes à la surface de la majorité des leucocytes humains (y compris les lymphocytes, les monocytes et les éosinophiles), mais absentes des érythrocytes et des plaquettes.

Plusieurs isoformes de CD45 sont générées par épissage alternatif de trois exons. L'expression de CD45 est nécessaire à la signalisation par le récepteur des lymphocytes T. Le NCL-LCA-RP est un cocktail de deux anticorps, les clones RP2/18 et RP2/22.

La technique de récupération d'épitopes induite par la chaleur (HIER) peut dans certain cas amplifier le marquage avec les NCL-LCA-RP, NCL-L-LCA-RP et RTU-LCA-RP.

Produits

Produits

LCA-L-H
0.5ml NCL-L-LCA
Voir Disponibilité
LCA-L
1ml NCL-L-LCA
Voir Disponibilité
LCA-L-CE
1ml NCL-L-LCA
Voir Disponibilité
PA0042
7ml CD45 Bond RTU Primary
Voir Disponibilité
LCA-L-U
1ml NCL-L-LCA
Voir Disponibilité
PA0042-U
7ml CD45 Bond RTU Primary
Voir Disponibilité

Téléchargements

Téléchargements

LCA-L-H

LCA-L

LCA-L-CE

PA0042

LCA-L-U

PA0042-U

Récemment Consultés