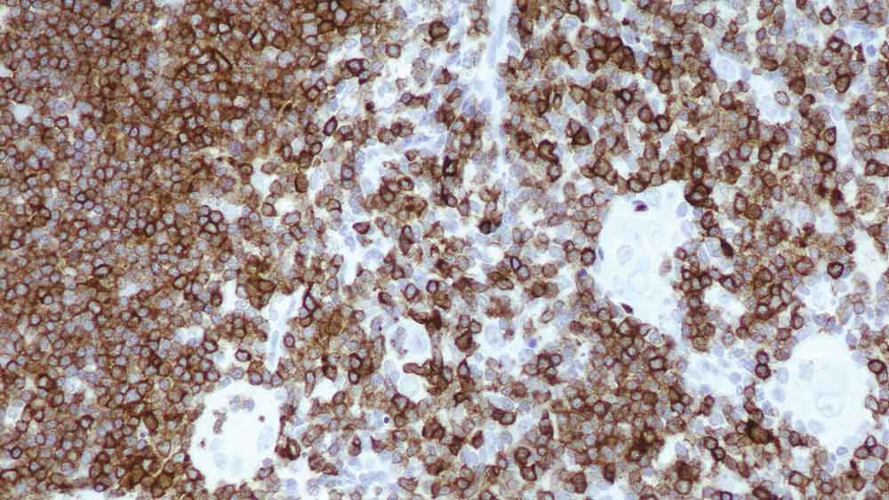
T cell lymphoma: immunohistochemical staining for CD7. Note the intense membrane staining of tumor cells. CD7: clone LP15

CD7

Description de l'antigène

La molécule CD7 est une glycoprotéine de 40 kD liée à la membrane et est le premier antigène spécifique des lymphocytes T à être exprimé dans les lymphocytes. L'antigène CD7 est également le seul marqueur précoce qui persiste tout au long de la différenciation.

La fonction et le rôle de la molécule CD7 n'ont pas encore été complètement élucidés, bien qu'on ait proposé qu'elle joue un rôle dans l'activation des lymphocytes T à récepteurs gamma/delta, sur bases de son activation induite par les anticorps monoclonaux. On a observé l'antigène CD7 dans la majorité des cellules T du sang périphérique, et dans la plupart des cellules tueuses et des thymocytes. Le clone LP15 a été développé pour fournir un marquage de qualité supérieure à celui du clone CD7-272 sur les sections de paraffine.

Produits

Produits

CD7-580-L-CE
1ml NCL-L-CD7-580
Voir Disponibilité
PA0266
7ml CD7 Bond RTU Primary
Voir Disponibilité
CD7-580-L-U
1ml NCL-L-CD7-580
Voir Disponibilité
PA0266-U
7ml CD7 Bond RTU Primary
Voir Disponibilité

Téléchargements

Téléchargements

CD7-580-L-CE

PA0266

CD7-580-L-U

PA0266-U

Récemment Consultés