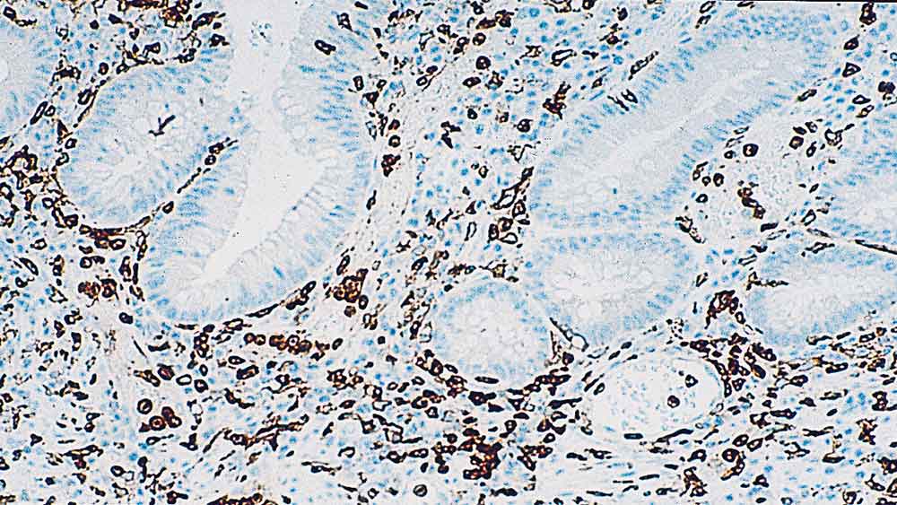
Human colon, ulcerative colitis: immunohistochemical staining for CD16. Note intense membrane staining of infiltrating natural killer cells, granulocytes and activated macrophages. CD16: clone 2H7

CD16

Description de l'antigène

L'antigène CD16 a un poids moléculaire de 50 à 70 kD et est un récepteur Fc de basse affinité pour les IgG complexés, Fc/gammaRIII, exprimé dans les cellules tueuses NK, dans les granulocytes, dans les macrophages activés, ainsi que dans un sous-groupe des lymphocytes T exprimant les récepteurs d'antigènes alpha-bêta ou gamma-delta des lymphocytes T. L'antigène CD16 existe sous la forme d'une protéine ancrée glycosylphosphatidylinositol (GPI) dans les cellules polymorphonucléaires, et sous la forme d'une protéine transmembranaire dans les cellules NK.

Produits

Produits

CD16-L-CE
1ml NCL-L-CD16
Voir Disponibilité
CD16-L-U
1ml NCL-L-CD16
Voir Disponibilité

Téléchargements

Téléchargements

CD16-L-CE

CD16-L-U

Récemment Consultés