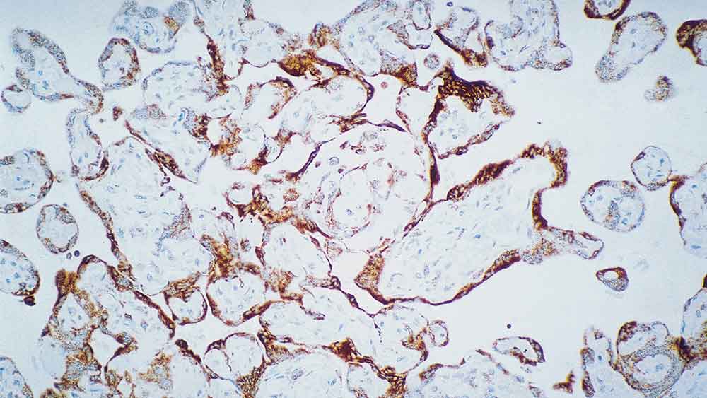
Human placenta: immunohistochemical staining for Vascular Endothelial Growth Factor Receptor-3: clone KLT9

Vascular Endothelial Growth Factor Receptor-3

Description de l'antigène

Le VEGFR-3 (FLT4) est un récepteur à activité tyrosine kinase dont la structure est similaire à celle de VEGFR-1 et de VEGFR-2 , mais qui ne se lie pas au VEGF. Ses deux ligands connus, par contre, présentent un haut degré d'homologie avec le VEGF, et sont connu sous les noms de VEGF-C et VEGF-D.

On a détecté le VEGFR-3 dans de nombreux tissus, dont le poumon, l'intestin, le cerveau et le placenta (syncytiotrophoblastes). L'ARNm du VEGFR-3 est exprimé tout au long de l'embryogenèse dans la plupart des cellules endothéliales, bien qu'il soit limité aux vaisseaux lymphatiques pendant les phases ultérieures du développement. Il semble jouer un rôle important dans le développement normal des vaisseaux sanguins et lymphatiques.

Dans les tumeurs, son expression a été observée dans l'endothélium des capillaires sanguins, et on pense que le VEGFR-3 est impliqué dans l'angiogenèse durant la croissance tumorale.

Produits

Produits

VEGFR3-L
1ml NCL-L-VEGFR-3

Téléchargements

Téléchargements

VEGFR3-L

Récemment Consultés