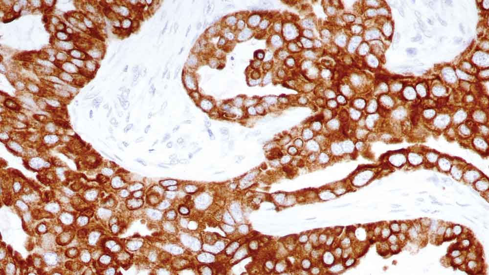
Immunohistochemical staining for Cytokeratin 8: clone TS1

Cytokeratin 8

Description de l'antigène

La cytokératine 8, également connue sous le nom d'Antigène tissulaire polypeptidique (TPA), est, avec la cytokératine 18, l'une des premières cytokératines exprimées dans l'embryon, et persiste dans les tissus adultes. Les deux cytokératines 8 et 18 sont des composants principaux de tous les épithéliums simples, mais pas des épithéliums squameux stratifiés. La cytokératine 8, dont l'expression a été observée dans les adénocarcinomes de patients, est également trouvée dans leur sérum.

Le clone TS1 réagit avec la cytokératine des filaments intermédiaires (52,5kD) identifiée comme la cytokératine 8.

Produits

Produits

CK8-TS1-L
1ml NCL-L-CK8-TS1
PA0567
7ml Cytokeratin 8 BondRTU Prim

Téléchargements

Téléchargements

CK8-TS1-L

PA0567

Récemment Consultés