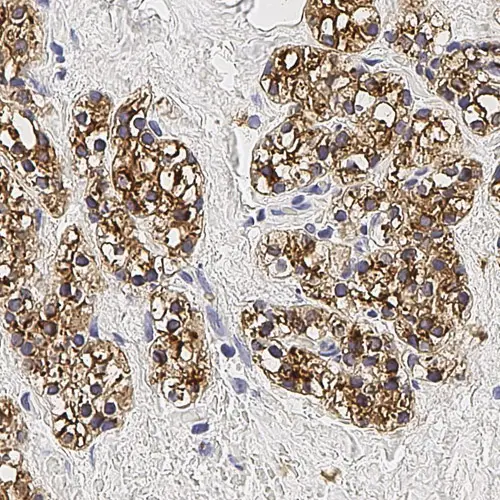
Human parathyroid adenoma: immunohistochemical staining for Parathyroid Hormone. Note membrane/cytoplasmic staining of tumor cells. Parathyroid Hormone: clone 105G7

Parathyroid Hormone

Description de l'antigène

Les glandes parathyroïdes sont de petites glandes endocrines ovales intimement associées à la glande thyroïde. Les glandes parathyroïdes régulent les taux sériques de calcium et de phosphate par l'intermédiaire de l'hormone parathyroïdienne (parathormone).

L'hormone parathyroïdienne élève les taux sériques de calcium de manière directe en augmentant le taux de réabsorption ostéoclastique et en promouvant la dégradation de la matrice osseuse, et de manière indirecte en augmentant la réabsorption des ions calcium dans les tubules rénaux et en inhibant la réabsorption des ions phosphates du filtrat glomérulaire, et, finalement, en promouvant l'absorption du calcium dans l'intestin grêle

L'hormone parathyroïdienne est le régulateur principal des taux sanguins de calcium. Les cellules principales sont les cellules les plus abondantes dans la glande parathyroïde, et sont responsables de la sécrétion de l'hormone parathyroïdienne. Les anticorps anti-hormone parathyroïdienne, utilisés en conjonction avec des anticorps anti-thyroglobuline, sont utiles pour distinguer les lésions dérivées de la parathyroïde des lésions dérivées de la thyroïde.

Produits

Produits

PTH-488-L-CE
1ml NCL-L-PTH-488

Téléchargements

Téléchargements

PTH-488-L-CE

Récemment Consultés