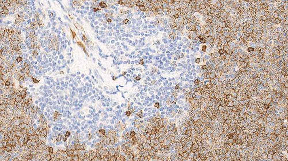
Mantle cell lymphoma: immunohistochemical staining for Immunoglobulin D. Note the mantle cell tumor cells show moderate staining for Immunoglobulin D, with a stronger reaction seen in plasma cells. Immunoglobulin D: clone DRN1C

Immunoglobulin D

Description de l'antigène

Les IgD sont, avec les IgM, les immunoglobulines principales exprimées à la surface des lymphocytes B, où elles semblent interagir les unes avec les autres dans leur fonction de récepteurs d'antigènes contrôlant l'activation et la suppression lymphocytaires.

La plus grande susceptibilité des IgD à la protéolyse lorsqu'elles sont couplées à des antigènes, pourrait participer à cette fonction.

L'utilisation de diluants à base de PBS peut causer une augmentation du bruit de fond. Le clone DRN1C a été développé pour réduire le bruit de fond associé aux anticorps polyclonaux dans les coupes en paraffine.

Produits

Produits

IGD-L-CE
IDG-L-CE
PA0061
7ml IgD (DRN1C) Bond RTU Primary

Téléchargements

Téléchargements

IGD-L-CE

PA0061

Récemment Consultés