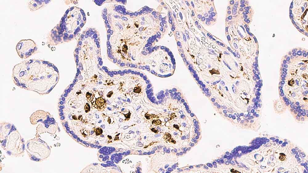
Human placenta: immunohistochemical staining of Factor XIIIa localized in the Hofbauer cells of the placental villi. Factor XIIIa (Blood Coagulation Factor XIIIa): clone E980.1

Factor XIIIa

Description de l'antigène

Le facteur XIIIa, également connu sous le nom de fibrinoligase ou de facteur de stabilisation de la fibrine, est la dernière enzyme générée dans la cascade de coagulation du sang. C'est une transglutaminase Ca2+-dépendante, ou enzyme de transamidation qui forme des réticulations gamma-glutamyl-epsilon-lysine intermoléculaires entre les molécules de fibrine, induisant la stabilisation mécanique du caillot de fibrine et sa résistance à la protéolyse.

Le facteur XIIIa pourrait aussi stabiliser les molécules de surface cellulaire et les membranes. Les trans-glutaminases Ca2+-dépendantes avec des centres thiols actifs sont fréquentes dans les tissus animaux et ont été associées à la prolifération cellulaire, au développement embryonnaire et à la croissance par prolifération d'éléments du stroma et de l'épithélium mammaires.

Le stroma mammaire normal, comme la plupart des tissus conjonctifs à collagène, contient des populations résidentes de cellules interstitielles CD34-positives et de quelques dendrophages associés au collagène XIIIa-positifs épars. L'expression du facteur XIIIa a été examinée dans la peau saine et enflammée. Les cellules positives pour le facteur XIIIa dans la peau humaine représentent une population spécifique de cellules dendritiques dermiques de moelle osseuse, distinctes des cellules de Langerhans qui partagent certaines caractéristiques communes aux phagocytes mononucléés.

Dans certaines conditions bénignes de la peau, comme les dermatoses inflammatoires, par exemple l'eczéma atopique et le psoriasis, on a décrit un nombre accrû de cellules positives pour le facteur XIIIa dans le derme supérieur, intimement associées aux lymphocytes.

Produits

Produits

PA0449
7ml Factor XIIIa Bond RTU Prim

Téléchargements

Téléchargements

PA0449

Récemment Consultés