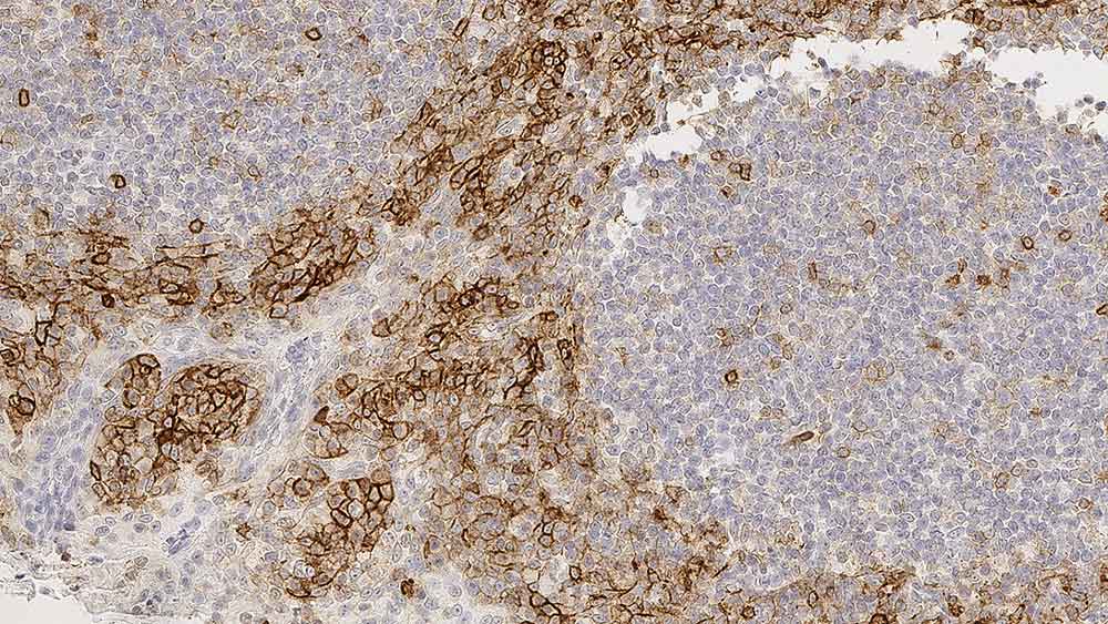
Human tonsil: immunohistochemical staining for CD99. Note membrane staining of vessel endothelium and a subpopulation of lymphocytes. CD99: clone PCB1

CD99

Description de l'antigène

CD99 est une glycoprotéine transmembranaire de 32 kD, codée par le gène MIC2, localisé dans la région pseudoautosomale des chromosomes X et Y humains

Le gène MIC2 code pour deux protéines distinctes produites par épissage alternatif de l'ARNm de CD99 et identifiées par des bandes de 30 et 32 kDa (p30/32). Bien que sa fonction ne soit pas entièrement comprise, la protéine CD99 a été impliquée dans plusieurs processus cellulaires, dont l'agrégation homotypique des lymphocytes T, la régulation à la hausse des récepteurs des lymphocytes T et des molécules du CMH, l'apoptose des thymocytes immatures et la diapédèse des leucocytes.

La CD99 est exprimée dans la plupart des tissus humains, dont les thymocytes corticaux, les cellules des îlots de Langerhans du pancréas, les cellules de Leydig et de Sertoli, virtuellement tous les types cellulaires hématopoïétiques (sauf les granulocytes), les lymphocytes du sang périphérique, les cellules granuleuses de l'ovaire, les cellules endothéliales et les cellules épithéliales squameuses basales et parabasales. On a détecté l'expression de la CD99 dans une large variété de tumeurs, dont le sarcome d'Ewing et le lymphome à cellules T.

Produits

Produits

CD99-187-L-CE
1ml NCL-L-CD99-187

Téléchargements

Téléchargements

CD99-187-L-CE

Récemment Consultés