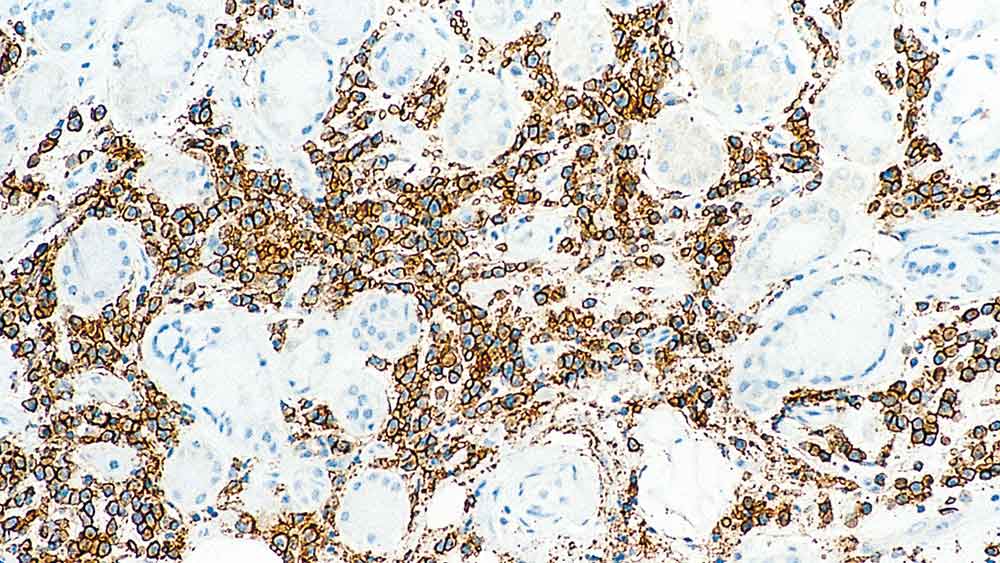
Chronically inflamed human bronchus: immunohistochemical staining CD38. Note intense membrane staining of infiltrating activated T lymphocytes. CD38: clone SPC32

CD38

Description de l'antigène

La molécule CD38 est une glycoprotéine transmembranaire de type II d'un poids moléculaire de 46 kD. C'est une exoenzyme aux activités d'ADP-ribosyl-cyclase, d'ADP-ribose cyclique hydrolase, et de NAD-glycohydrolase, impliquée dans la formation et l'hydrolyse de l'ADP-ribose cyclique (cADPR), un messager secondaire qui régule la mobilisation des ions Ca2+ intracellulaires.

Bien que la molécule CD38 ait été tout d'abord identifiée comme un antigène de différenciation des lymphocytes T, on a détecté son expression dans de nombreux types cellulaires et dans de nombreux tissus. L'antigène CD38 peut délivrer de forts signaux de croissance et de différenciation aux cellules lymphoïdes et myéloïdes.

On le trouve à la surface des cellules immatures des lignées B et T, mais pas dans la plupart des lymphocytes périphériques en repos. Il est aussi présent à la surface des thymocytes, des lymphocytes pré-B, des lymphocytes B des centres germinatifs, des lymphocytes T activés par mitogènes, des cellules plasmatiques sécrétrices d'Ig, des monocytes, des cellules NK, des progéniteurs érythroïdes et myéloïdes de la moelle osseuse, et des cellules du cerveau.

On a aussi détecté la présence de l'antigène CD38 dans les enchevêtrements neurofibrillaires, l'indicateur pathologique de la maladie d'Alzheimer des péricaryons et des dendrites proximaux des neurones.

Produits

Produits

CD38-290-L-CE
1ml NCL-L-CD38-290

Téléchargements

Téléchargements

CD38-290-L-CE

Récemment Consultés