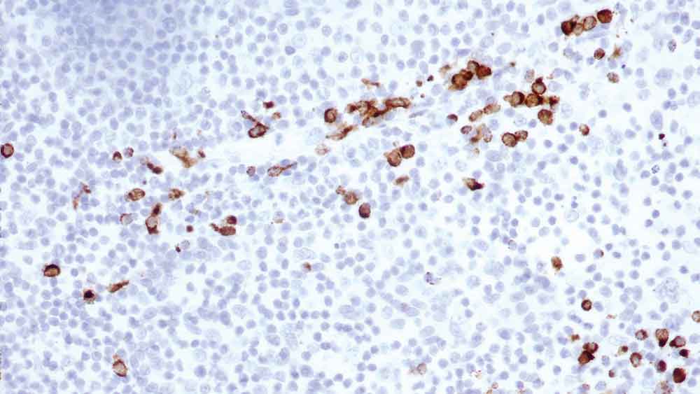
Human tonsil: immunohistochemical staining for Granzyme B: clone 11F1

Granzyme B

Antigen Background

Granzymes are neutral serine proteases which are stored in specialized lytic granules of cytotoxic T lymphocytes (CTL) and in natural killer (NK) cells. These CTL and NK cells are heavily involved in the elimination of neoplastic and virally infected cells. Secretory granules containing perforin and granzymes are instrumental in undertaking cytolytic activity. Granzyme B is understood to enter a target cell through a perforin pore-formed channel to induce DNA fragmentation and apoptosis. Granzyme B has also been described in neoplastic CTL and NK cells.

Disclaimer

Granzyme B is recommended for the detection of specific antigens of interest in normal and neoplastic tissues, as an adjunct to conventional histopathology using non-immunologic histochemical stains.

Productos

Productos

PA0291-U
7ml Granzyme B Bond RTU Prim
Disponibilidad del país
GRAN-B-L-CE
1ml NCL-L-GRAN-B
Disponibilidad del país
GRAN-B-L
1ml NCL-L-GRAN-B
Disponibilidad del país
PA0291
7ml Granzyme B Bond RTU Prim
Disponibilidad del país
GRAN-B-L-U
1ml NCL-L-GRAN-B
Disponibilidad del país

Downloads

Downloads

PA0291-U

GRAN-B-L-CE

GRAN-B-L

PA0291

GRAN-B-L-U

Recently Viewed