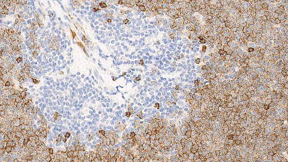
Mantle cell lymphoma: immunohistochemical staining for Immunoglobulin D. Note the mantle cell tumor cells show moderate staining for Immunoglobulin D, with a stronger reaction seen in plasma cells. Immunoglobulin D: clone DRN1C

Immunoglobulin D

Antigen Background

IgD, together with IgM, are the major immunoglobulins expressed on the surface of B cells where it seems they may operate as mutually interacting antigen receptors for the control of lymphocyte activation and suppression. The greater susceptibility of IgD to proteolysis in combination with antigen could well be implicated in such a function.

Product Specific Information

The use of PBS-based diluents may result in increased background staining. Clone DRN1C was developed to produce reduced background staining that is associated with polyclonal antibodies on paraffin sections.

Disclaimer

Immunoglobulin D is recommended for the detection of specific antigens of interest in normal and neoplastic tissues, as an adjunct to conventional histopathology using non-immunologic histochemical stains.

Productos

Productos

IGD-L
1ml NCL-L-IgD
Disponibilidad del país
IGD-L-CE
1ml NCL-L-IgD
Disponibilidad del país
PA0061
7ml IgD (DRN1C) Bond RTU Primary
Disponibilidad del país
IGD-L-U
1ml NCL-L-IgD
Disponibilidad del país
PA0061-U
7ml IgD (DRN1C) Bond RTU Primary
Disponibilidad del país

Downloads

Downloads

IGD-L

IGD-L-CE

PA0061

IGD-L-U

PA0061-U

Recently Viewed