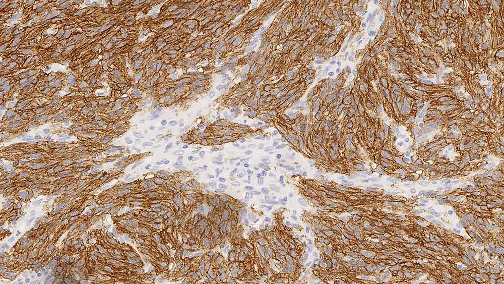
Human colon, gastrointestinal stromal tumor: immunohistochemical staining for CD117. Note membrane staining of neoplastic cells. CD117: clone EP10

CD117

Antigen Background

The c-kit proto-oncogene encodes a transmembrane receptor with tyrosine kinase activity, c-kit (CD117), which is closely-related to the platelet-derived growth factor receptor family. c-kit plays a role during hematopoiesis, gametogenesis and melanogenesis. The expression of CD117 antigen is of particular interest in the study of gastrointestinal stromal tumors (GIST), small lung cell carcinomas and in melanomas.

Disclaimer

CD117 is recommended for the detection of specific antigens of interest in normal and neoplastic tissues, as an adjunct to conventional histopathology using non-immunologic histochemical stains.

Productos

Productos

CD117-L-CE
1ml NCL-L-CD117
Disponibilidad del país
CD117-032-L-CE
1ml NCL-L-CD117-032
Disponibilidad del país
PA0007
7ml CD117 (EP10) Bond RTU Primary
Disponibilidad del país
CD117-032-L-U
1ml NCL-L-CD117-032
Disponibilidad del país
PA0007-U
7ml CD117 (EP10) Bond RTU Primary
Disponibilidad del país

Downloads

Downloads

CD117-L-CE

CD117-032-L-CE

PA0007

CD117-032-L-U

PA0007-U

Recently Viewed