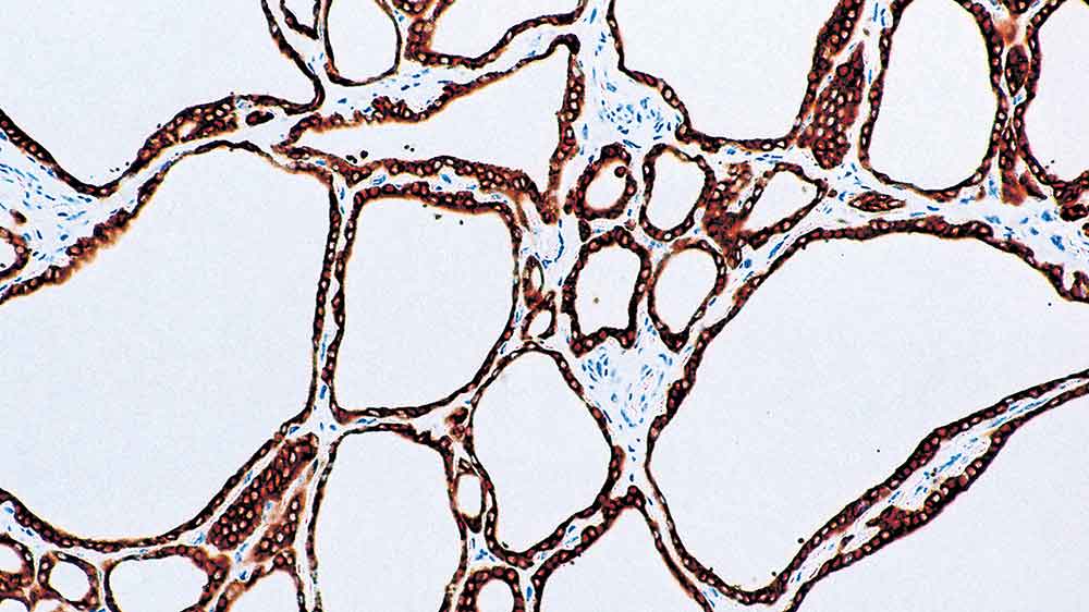
Antigen Background
Thyroid peroxidase gene expression is under the regulation of thyroid-stimulating hormone. In normal thyroid, expression of thyroid peroxidase (TPO) described immunohistochemically is reported to produce a diffuse, fine, granular cytoplasmic stain in all follicular cells. Some studies have shown qualitative as well as quantitative differences in thyroid peroxidase expression in thyroid cancer compared to normal tissue.
Product Specific Information
TPO stains optimally when used in TBS-based wash buffer and diluent systems.
Disclaimer
Thyroid Peroxidase is recommended for the detection of specific antigens of interest in normal and neoplastic tissues, as an adjunct to conventional histopathology using non-immunologic histochemical stains.