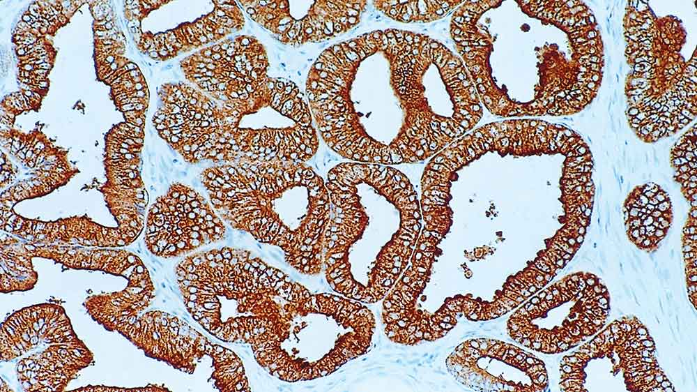
Human prostate, adenocarcinoma: immunohistochemical staining for prostatic acid phosphatase. Note cytoplasmic staining of tumor cells. Prostatic Acid Phosphatase: clone PASE/4LJ

Prostatic Acid Phosphatase

Antigen Background

Prostatic acid phosphatase (PAP) is an isoenzyme of acid phosphatase found in large amounts in the prostate and seminal fluid. The precise function of PAP is unknown, but it may act as a hydrolase to split phosphoryl choline in semen and also function as a transferase. Elevated serum levels of the enzyme are reported in metastatic prostatic carcinoma.


Disclaimer

Prostatic Acid Phosphatase is recommended for the detection of specific antigens of interest in normal and neoplastic tissues, as an adjunct to conventional histopathology using non-immunologic histochemical stains.

Products

Products

PAP-L
1ml NCL-L-PAP
PA0006
7ml PAP Bond RTU Primary

Downloads

Downloads

PAP-L

PA0006

Recently Viewed