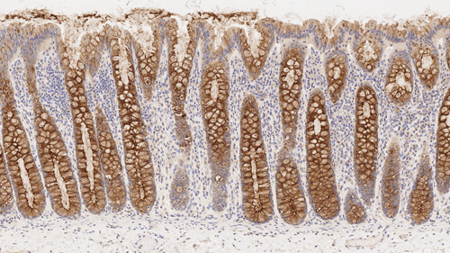
Human colon: Immunohistochemical staining for Muc-4 Glycoprotein. Muc-4: clone EPR9308

Muc-4

Antigen Background
Muc-4 (Mucin 4) is an O-glycoprotein that consists of a large extracellular glycosylated subunit, transmembrane domain and intracellular domain. MUC4 is known to play a protective role for cell membrane and has anti-adhesive properties. It is understood to play a role in cancer progression, facilitating tumor progression via apoptosis inhibition. MUC4 is aberrantly expressed in several cancers including those of the bile duct, breast, colon, oesophagus, ovary, lung, prostate, stomach and pancreas.

Disclaimer
Muc-4 is recommended for the detection of specific antigens of interest in normal and neoplastic tissues, as an adjunct to conventional histopathology using non-immunologic histochemical stains.

Products

Products

PA0444
7mL Muc-4 Glycoprotein (EPR9308) BondRTU

Downloads

Downloads

PA0444

Recently Viewed