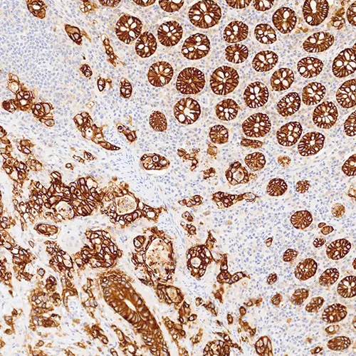
Bowel Adenocarcinoma: EpCAM clone EPR20532-222.

EpCAM

Antigen Background
Epithelial Cell Adhesion Molecule (EpCAM) was one of the first tumor‐associated antigens identified and is a transmembrane glycoprotein expressed in most normal epithelial cells and overexpressed in a variety of carcinomas. It is involved in regulating normal cell-cell adhesion and may also have a role in the regulation of several oncogenes. It is not expressed in cancers of non‐epithelial origin, and therefore may be used as an aid for the differential diagnosis of several conditions.

Disclaimer
EpCAM is recommended for the detection of specific antigens of interest in normal and neoplastic tissues, as an adjunct to conventional histopathology using non‐immunologic histochemical stains.


or REQUEST a bulk quote.

Products

Products

PA0310-U
7mL EpCAM (EPR20532-222) Bond RTU

or REQUEST a bulk quote.

Downloads

Downloads

PA0310-U

Recently Viewed