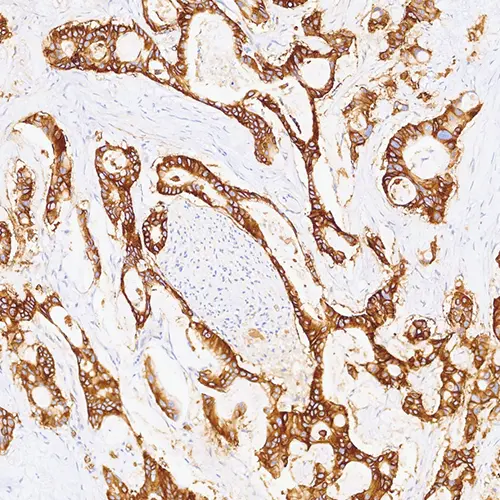
Colorectal cancer: GLUT1 clone GLUT1/2475.

GLUT1

Antigen Background
Glucose Transporter 1 is a membrane protein that facilitates the uptake of glucose. It is expressed ubiquitously, with levels of cellular expression correlating with rates of glucose metabolism. As such it is most highly expressed in normal erythrocytes and endothelial cells, and it is therefore a useful marker of such tissues. GLUT1 immunohistochemistry may aid in differentiating infantile hemangioma from other vascular malformations. It has also been shown to be useful in differentiating reactive mesothelium and malignant mesothelioma.

Disclaimer
GLUT1 is recommended for the detection of specific antigens of interest in normal and neoplastic tissues, as an adjunct to conventional histopathology using non‐immunologic histochemical stains.


or REQUEST a bulk quote.

Products

Products

PA0866-U
7mL GLUT1 (GLUT1/2475) Bond RTU

or REQUEST a bulk quote.

Downloads

Downloads

PA0866-U

Recently Viewed