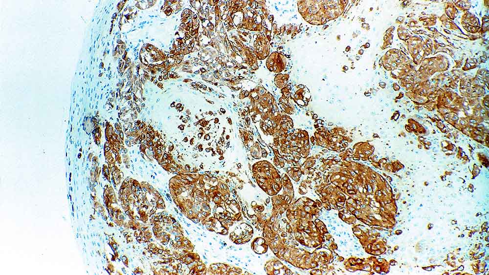
Human malignant melanoma: immunohistochemical staining for Tyrosinase: clone T311

Tyrosinase

Hintergrund des Antigens

An der Biosynthese von Melanin in den Melanozyten ist eine Enzymfamilie beteiligt, zu der als wichtiges Mitglied die Tyrosinase gehört.

L-Tyrosinase ist das Ausgangssubstrat für die Melaninbiosynthese und ihre Umwandlung in Dopaquinon wird durch die Tyrosinase katalysiert, die in Melanozyten und Melanomen exprimiert wird.

Tyrosinase-Mangel wird mit verschiedenen Formen von Albinismus und insbesondere mit dem okulokutanen Albinismus assoziiert.

Die Tyrosinase-Expression in melanozytären Läsionen kann über die Tyrosinase (T311) beurteilt werden.

Produkte

Produkte

PA0322-U
7ml Tyrosinase Bond RTUPrimary
Verfügbarkeit überprüfen
TYROS-L-CE
1ml NCL-L-TYROS
Verfügbarkeit überprüfen
TYROS-L
1ml NCL-L-TYROS
Verfügbarkeit überprüfen
PA0322
7ml Tyrosinase Bond RTUPrimary
Verfügbarkeit überprüfen
TYROS-L-U
1ml NCL-L-TYROS
Verfügbarkeit überprüfen

Downloads

Downloads

PA0322-U

TYROS-L-CE

TYROS-L

PA0322

TYROS-L-U

Zuletzt angesehen