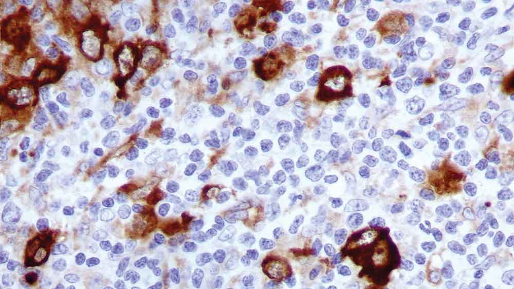
Malignant Melanoma: Immunohistochemistry staining of S-100B scanned using the Aperio AT2. Nuclear and cytoplasmic staining in tumor cells. S-100B: clone EP32

S-100

Hintergrund des Antigens

Die Proteine S-100 A und S-100 B gehören beide zur S-100-Proteinfamilie. S-100 A besteht aus einer Alpha- und einer Beta-Kette, während S-100 B aus zwei Beta-Ketten besteht. Das S-100-Protein wird im neuroektodermalen Gewebe einschließlich Nerven und Melanozyten exprimiert. Auch soll das S-100-Protein in den Langerhans-Zellen in der Epidermis der Haut exprimiert werden. Bemerkenswert ist, dass das S-100-Protein sehr gut löslich ist und bei immunhistochemischen Verfahren aus gefrorenem Gewebe eluiert werden kann.

Produktspezifische Informationen

Klon EP32 wurde speziell für das S-100-Beta-Protein entwickelt. In neuroektodermalem Gewebe, z. B. Melanozyten, Nervenzellen, dendritischen Zellen, Adipozyten und einem Prozentsatz von Makrophagen, Lymphozyten und Plasmazellen war eine Immunreaktivität zu beobachten.

Haftungsausschluss

S-100 wird für den Nachweis bestimmter Antigene in normalem und neoplastischem Gewebe als zusätzliches Hilfsmittel zur herkömmlichen Histopathologie unter Verwendung nicht-immunologischer histochemischer Färbemittel empfohlen.

Produkte

Produkte

PA0031
7mL S-100 (EP32) BOND RTU Primary
Verfügbarkeit überprüfen
S100-167-L-CE
1mL NCL-L-S100-167
Verfügbarkeit überprüfen
PA0820
7ML (4C4.9 MAB) S100 Protein 'CM'
Verfügbarkeit überprüfen
S100-167-L-U
1mL NCL-L-S100-167
Verfügbarkeit überprüfen
PA0031-U
7mL S-100 (EP32) BOND RTU Primary
Verfügbarkeit überprüfen

Downloads

Downloads

PA0031

S100-167-L-CE

S100-167-L-U

PA0031-U

Zuletzt angesehen