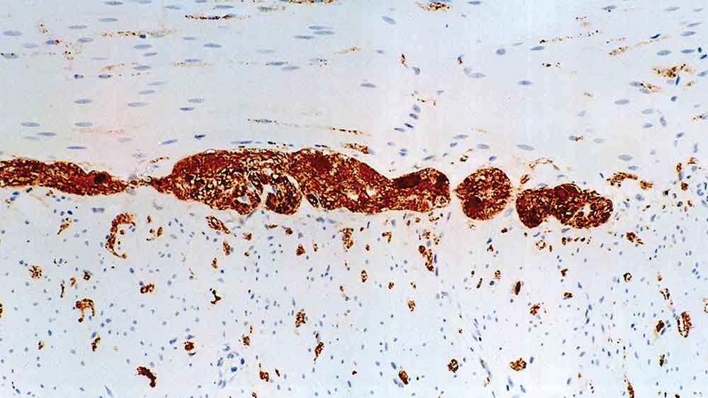
Human colon: immunohistochemical staining of Protein Gene Product 9.5. Note the staining in the neuronal elements and the ganglia of the longitudinal and circular smooth muscle. Protein Gene Product 9.5: clone 10A1

Protein Gene Product 9.5

Hintergrund des Antigens

Das Protein Gene Product (PGP) 9.5 ist ein neuronenspezifisches Protein, das sich strukturell und immunologisch von neuronensspezifischen Enolasen unterscheidet. Das Protein hat ein Molekulargewicht von 27 kD und wurde zuerst durch hochauflösende zweidimensionale PAGE identifiziert.

Die PGP9.5-Expression wurde in Nervenzellen und Nervenfasern auf allen Ebenen des zentralen und peripheren Nervensystems, in zahlreichen neuroendokrinen Zellen, in Segmenten der renalen Tubuli, in Spermatogonien und Leydig-Zellen der Hoden, in Eizellen und in einigen Zellen des sowohl schwangere als auch nicht-schwangeren Corpus luteum beobachtet.

PGP9.5 ist ein Mitglied der Ubiquitin-C-terminalen Hydroxylase-Familie und auch in Einschlußkörpern konzentriert, was darauf hindeutet, dass diese Strukturen metabolisch aktive Regionen der Zellen sind.

Produkte

Produkte

PA0286-U
7ml PGP 9.5 Bond RTU Primary
Verfügbarkeit überprüfen
PGP9.5-L-CE
1ml NCL-L-PGP9.5
Verfügbarkeit überprüfen
PA0286
7ml PGP 9.5 Bond RTU Primary
Verfügbarkeit überprüfen
PGP9.5-L-U
1ml NCL-L-PGP9.5
Verfügbarkeit überprüfen

Downloads

Downloads

PA0286-U

PGP9.5-L-CE

PA0286

PGP9.5-L-U

Zuletzt angesehen