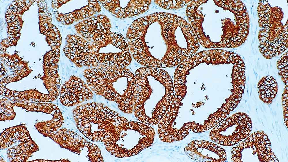
Human prostate, adenocarcinoma: immunohistochemical staining for prostatic acid phosphatase. Note cytoplasmic staining of tumor cells. Prostatic Acid Phosphatase: clone PASE/4LJ

Prostatic Acid Phosphatase

Hintergrund des Antigens

Prostataspezifische saure Phosphatase (PAP) ist ein Isoenzym der sauren Phosphatase, die in großen Mengen in Prostata und Samenflüssigkeit vorhanden sind.

Die genaue Funktion der PAP ist unbekannt, sie wirkt jedoch möglicherweise als Hydrolase, um das Phosphorylcholin im Samen zu spalten, sowie als Transferase.

Erhöhte Serumspiegel des Enzyms wurden in humanen metastasierenden Prostatakarzinomen beobachtet.

Produkte

Produkte

PAP-L
1ml NCL-L-PAP
Verfügbarkeit überprüfen
PA0006
7ml PAP Bond RTU Primary
Verfügbarkeit überprüfen
PA0006-U
7ml PAP Bond RTU Primary
Verfügbarkeit überprüfen

Downloads

Downloads

PAP-L

PA0006

PA0006-U

Zuletzt angesehen