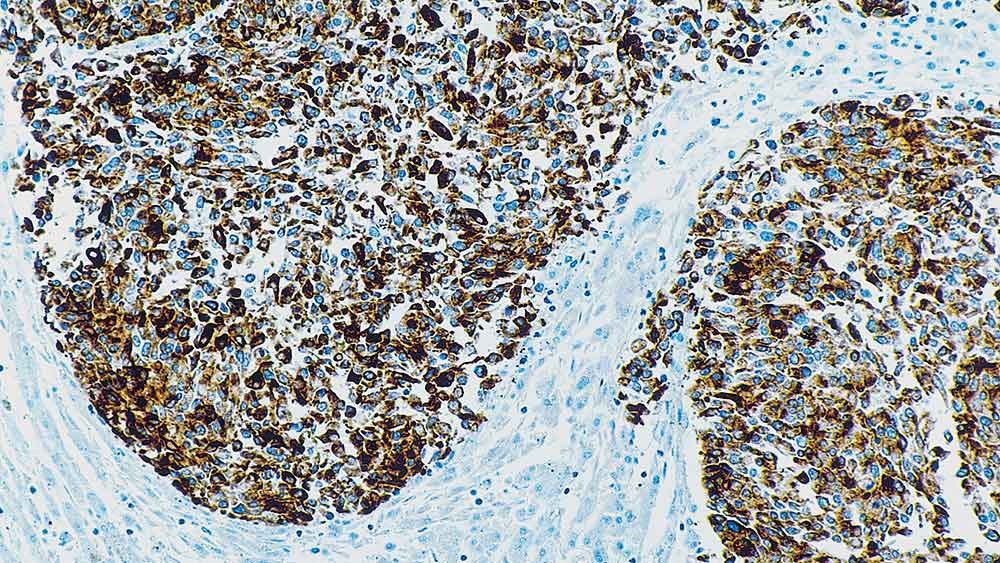
Human prostate: immunohistochemical staining for Prostate Specific Membrane Antigen (PSMA): clone 1D6 

Prostate Specific Membrane Antigen

Hintergrund des Antigens

Das prostataspezifische Membranantigen (PSMA) wird als Glykoprotein mit 750 Aminosäuren exprimiert, es kann jedoch gleichfalls als PSM', eine Form des Proteins ohne die ersten 57 Aminosäuren, vorkommen.

PSMA weist zwei enzymatische Aktivitäten auf, eine als prostataspezifische, integrale Membran-Folat-Hydrolase und die andere als Carboxypeptidase.

Berichte deuten darauf hin, dass die PSMA-Expression mit der Tumorlast korreliert und als Indikator für die Metastasebeteiligung dient.

Die zelluläre Lokalisierung von PSMA kontrastiert mit der Lokalisierung des prostataspezifischen Antigens (PSA) und der Prostatasäurephosphatase (PAP), die sekretierte Proteine sind.

Produkte

Produkte

PSMA-L
1ml NCL-L-PSMA
Verfügbarkeit überprüfen
PSMA-L-A
1ml NCL-L-PSMA
Verfügbarkeit überprüfen

Downloads

Downloads

PSMA-L

PSMA-L-A

Zuletzt angesehen