PD-L1

Antigen Background
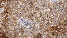
Programmed death-ligand 1 (PD-L1), CD274 or B7 Homolog 1(B7-H1) is a protein encoded by the CD274 gene. When bound to its ligands, PD-1 and B7.1, it plays an immunosuppressive role by inhibiting T-cell activity. Overexpression of PD-L1 by cancer cells may enable them to evade the host immune response, conferring a growth advantage to such tumors. PD-L1 expression levels detected by immunohistochemistry can therefore be of prognostic value in some types of cancer.

PD-L1 is recommended for the detection of specific antigens of interest in normal and neoplastic tissues, as an adjunct to conventional histopathology using nonimmunologic histochemical stains.

Disclaimer
PD-L1 is recommended for the detection of specific antigens of interest in normal and neoplastic tissues, as an adjunct to conventional histopathology using non-immunologic histochemical stains.

Produkte

Produkte

PA0832
7mL PD-L1 (73-10) Bond RTU Primary
Verfügbarkeit überprüfen
PA0832-U
7mL PD-L1 (73-10) Bond RTU Primary
Verfügbarkeit überprüfen

Downloads

Downloads

PA0832

PA0832-U

Zuletzt angesehen