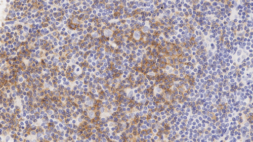
Hodgkin lymphoma: Immunohistochemistry staining of PD-1. PD-1: clone CAL20

PD-1

Hintergründe des Antigen
PD-1 (Programmed Death 1) ist ein 55KDa-Transmembran-Zelloberflächenrezeptor vom Typ I, der während der Aktivierung von T-Zellen exprimiert wird. Es wird außerdem in B-Zellen, dendritischen Zellen, natürlichen Killerzellen und einigen Knochenmarkszellen hochreguliert, was auf eine umfassende Rolle für PD-1 bei der Immunregulation hinweist. PD-1 interagiert mit mindestens zwei Liganden: PD-L1 und PD-L2. Die PD-1/PD-L1-Interaktion ist bei vielen T-Zellfunktionen wichtig, einschließlich akuter und chronischer Entzündung, Krebs und Immuntherapie.

Haftungsausschluss
PD-1 wird für den Nachweis bestimmter Antigene in normalem und neoplastischem Gewebe als zusätzliches Hilfsmittel zur herkömmlichen Histopathologie unter Verwendung nicht-immunologischer histochemischer Färbemittel empfohlen.

Produkte

Produkte

PA0216-U
7mL PD-1 (CAL20) BOND RTU Primary
Verfügbarkeit überprüfen
PA0216
7mL PD-1 (CAL20) BOND RTU Primary
Verfügbarkeit überprüfen

Downloads

Downloads

PA0216-U

PA0216

Zuletzt angesehen