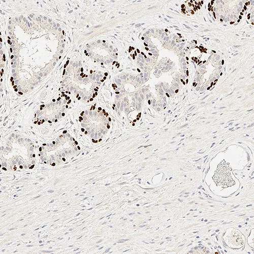
Human prostate: immunohistochemical staining for p63. p63: clone 7JUL

p63 Protein

Hintergrund des Antigens

p63 ist ein Mitglied der p53-Genfamilie und kodiert für mindestens sechs wichtige Immunglobulinisotypen mit transaktivierenden, todinduzierenden (TAp63) sowie dominant-negativen Aktivitäten (deltaNp63).

Das p63-Protein soll in einer Vielzahl gesunden Gewebes einschließlich proliferierender Zellen des Epithels, Gebärmutterhals, Urothel und Prostata exprimiert werden.

Das p63-Protein wird gleichfalls in den meisten schlecht differenzierten Plattenepithelkarzinomen exprimiert.

Bei Epithelzellen fehlt dem dominanten Isotyp deltaNp63 ein saurer N-Terminus, entsprechend der Transaktvierungsdomäne von p53.

Der deltaN-Isotyp wird auch in erheblichem Umfang in Nasopharynxkarzinomen exprimiert. Das p63-Protein ist für die Prostataentwicklung erforderlich.

Das humane p63-Gen ist bei Kindern mit dem ektrodaktyl-ektodermalen Dysplasie- und Lippen-Gaumen-Spalten-Syndrom (EEC-Syndrom) mutiert.

Im Gegensatz zum p53-Gen ist das p63-Gen bei Krebs im Menschen selten mutiert.

Berichten zufolge wird das p63-Protein bei Prostataadenokarzinomen nicht exprimiert. Seine veränderte Expression ist bei der Blasenkarzinogenese jedoch häufig zu finden.

Der Klon 7JUL wird zu einem prokaryotischen rekombinanten Fusionsprotein gezüchtet, entsprechend einer Region (aa319-410), die den sechs Isoformen des p63-Moleküls gemeinsam ist.

Produkte

Produkte

P63-L-CE
1ml NCL-L-p63
Verfügbarkeit überprüfen
PA0103
7ml p63 Bond RTU Primary
Verfügbarkeit überprüfen
P63-L-U
1ml NCL-L-p63
Verfügbarkeit überprüfen
PA0103-U
7ml p63 Bond RTU Primary
Verfügbarkeit überprüfen

Downloads

Downloads

P63-L-CE

PA0103

P63-L-U

PA0103-U

Zuletzt angesehen