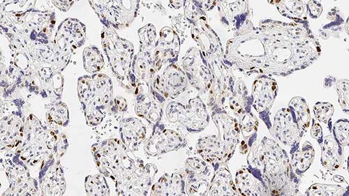
Human placenta: immunohistochemical staining for p57 protein. Note nuclear staining for cytotrophoblast and stromal cells of the villi. p57: clone 25B2

Kip2 (p57 Protein)

Hintergrund des Antigens

Cyclin-abhängige Kinasen sind positive Regulatoren der Zellproliferation. Das p57-Protein fungiert als Tumorsuppressor, um dem entgegenzuwirken. Cyclin ist eng verwandt mit anderen CDKIs wie das p21-Protein (CIP1) und das p27-Protein (Kip1), da diese eine gemeinsame strukturelle N-terminale Domäne für die Bindung an CDK-/Cyclinkomplexe und die Inhibierung deren Kinaseaktivität aufweisen.

Das humane p57-Protein ist im Chromosom 11p15.5 vorhanden, eine Region, die häufig als Stelle für den Verlust der Heterozygotie bei bestimmten Sarkomen, Wilms-Tumoren und Tumoren mit Beckwith-Wiedemann-Syndrom bekannt ist.

Es besteht zunehmend Interesse an p57 als Marker bei Gestationserkrankungen. Der Begriff Keimstrang-Stromaerkrankung bezieht sich auf ein breites Spektrum an proliferativen Störungen der Plazentatrophoblasten mit einer Vielzahl an histologischen Erscheinungsbildern und klinischen Verhaltensweisen.

Produkte

Produkte

P57-L-CE
1ml NCL-L-p57
Verfügbarkeit überprüfen
P57-L-U
1ml NCL-L-p57
Verfügbarkeit überprüfen

Downloads

Downloads

P57-L-CE

P57-L-U

Zuletzt angesehen