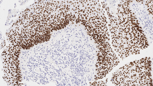
Squamous cell carcinoma of lung: Immunohistochemistry staining of p40. p40: clone BC28

p40

Hintergründe des Antigens
p40 (Delta Np63) ist ein gekürztes Produkt von p63. Es wird für gewöhnlich in der Basal- oder Vorläuferzellschicht von mehrschichtigen Epithelien, in den Basalzellen der Prostata sowie in den Myoepithelzellen der Brust und der Speicheldrüsen, und Zytotrophoblasten in der Plazenta exprimiert und zeigt mit IHC ein nukleares Färbemuster. Unter den zahlreichen Neoplasmen mit positiven p40-Markern können Plattenzellkarzinome mit pulmonalem und nicht-pulmonalem Ursprung von anderen Malignitäten unterschieden werden.

Haftungsausschluss
p40 wird für den Nachweis bestimmter Antigene in normalem und neoplastischem Gewebe als zusätzliches Hilfsmittel zur herkömmlichen Histopathologie unter Verwendung nicht-immunologischer histochemischer Färbemittel empfohlen.

Produkte

Produkte

PA0163
7mL p40 (BC28) Bond RTU Primary
Verfügbarkeit überprüfen
PA0163-U
7ml p40 (BC28) Bond RTU Primary
Verfügbarkeit überprüfen

Downloads

Downloads

PA0163

PA0163-U

Zuletzt angesehen