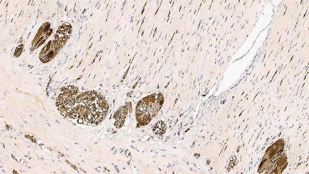
Human large bowel: immunohistochemical staining of Neuron Specific Enolase (NSE). Note the staining in the neuronal elements and the ganglia of the longitudinal and circular smooth muscle. Neuron Specific Enolase: clone 22C9

Neuron Specific Enolase

Hintergrund des Antigens

Enolasen sind Glykolyse-Enzyme, die den Reaktionssignalweg zwischen 2-Phosphoglyzerat und phosphoenolem Pyruvat katalysieren. Bei den Säugern sind die Enolasemoleküle Dimere, die aus drei unterschiedlichen Untereinheiten (α, β und γ) bestehen, während bei Ratten fünf Formen nachgewiesen wurden.

Die α- und γ-Untereinheit haben ein Molekulargewicht von ca. 47 kD bzw 45 kD auf. Die γγ- und αγ-Enolasen befinden sich vor allem im Nervengewebe und in neuroendokrinen Zellen.

Der Klon 22C9 wurde entwickelt, um eine hervorragende Färbung bei Paraffinschnitten zu erzeugen. Er reagiert mit der γ-Untereinheit des Enolase-Isoenzyms.

Klon 5E2 reagiert mit der 47-kD-Komponente des Gamma-Gamma-Enolase-Isoenzyms.

Produkte

Produkte

PA0435-U
7ml NSE Bond RTU Primary
Verfügbarkeit überprüfen
PA0435
7ml NSE Bond RTU Primary
Verfügbarkeit überprüfen

Downloads

Downloads

PA0435-U

PA0435

Zuletzt angesehen