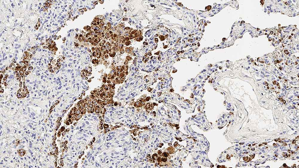
Human lung: immunohistochemical staining for Napsin A. Note cytoplasmic staining of pneumocytes and alveolar macrophages. Napsin A: clone IP64

Napsin A

Hintergrund des Antigens

Napsin A übernimmt im normalen alveolaren Epithelium eine spezifische Funktion. Man geht davon aus, dass es bei der proteolytischen Prozessierung der Surfactant-Vorläufer eine Rolle spielt.

Napsin A soll überwiegend in den Lamellenkörpern von Typ II-Pneumozyten, in sekundären Lysosomen der Alveolarmakrophagen, im respiratorischen Epithel der End- und respiratorischen Bronchiolen, in Plasmazellen, innerhalb einer Untergruppe von Lymphozyten in der normalen Lunge sowie in den Epithelzellen der Nierentubuli der normalen Niere und nur schwach in der normalen Milz exprimiert werden.

Studien haben gezeigt, dass Napsin A in 90 % der primären Adenokarzinome der Lunge exprimiert wird.

Produkte

Produkte

NAPSINA-L-CE
1ml NCL-L-Napsin A
Verfügbarkeit überprüfen
PA0064-U
7ml Napsin A (IP64) Bond RTU Primary
Verfügbarkeit überprüfen
PA0064
7ml Napsin A (IP64) Bond RTU Primary
Verfügbarkeit überprüfen
NAPSINA-L-U
1ml NCL-L-Napsin A
Verfügbarkeit überprüfen

Downloads

Downloads

NAPSINA-L-CE

PA0064-U

PA0064

NAPSINA-L-U

Zuletzt angesehen